„Očekávám, že se nemocnice na podzim zase částečně zaplní pacienty s covid-19, ale situace v Česku nebude tak dramatická jako na jaře,“ míní Vladimír Koblížek, přednosta Plicní kliniky Fakultní nemocnice Hradec Králové při LFHK UK. Vedle očkování máme totiž ještě jednu novinku. Oslabeným jedincům mohou lékaři dodat syntetické protilátky proti covid-19, které výrazně zmírní průběh onemocnění.
Dozvěděl jste díky nemoci covid-19 o plicích nového?
Rozhodně, a ještě mnohem více se o jejich fungování dozvěděli lékaři jiných odborností, například oftalmologové, dermatologové, ortopedové nebo internisté, kteří se museli v době pandemie velmi rychle přeškolit na pneumology a lékaře intenzivní péče. Ale teď vážně. Dozvěděli jsme se třeba to, jak vypadá rychle se šířící epidemie potenciálně smrtícího zánětu plic virového typu. Většinu pneumonií (zánětů plic) totiž v době před covidem, způsobovaly bakterie, případně viry spolu s bakteriemi.
Lidé, kteří přirovnávají covid ke chřipce, zpravidla říkají, že i na chřipku zemře ročně dva a půl tisíce lidí. To ale není pravda. Dva a půl tisíce lidí zemřelo v Česku každoročně na všechny plicní záněty dohromady. Úmrtí způsobených viry (zejména chřipkou) bylo „jen“ několik stovek. A nyní to porovnejte s desítkami tisíc úmrtí asociovaných s covid pneumonií.
Zápal plic způsobený covidem-19 má navíc jiný průběh.
Ano, to pro nás byla další novinka. Při pneumonii bakteriálního typu se stav nemocného zhoršuje postupně, dosáhne určitého vrcholu a poté se zlepšuje. U covidu je to takové klikaté. Pneumonie probíhá v několika fázích. Zpočátku pacientům „skoro nic nebylo“, a proto velká část z nich zůstávala doma. Měli sice vážnou poruchu okysličení krve neboli hypoxémii, avšak situaci si neuvědomovali. V zahraničí byl tento stav označován jako happy hypoxemia. Běžné hodnoty kyslíkové saturace se u zdravého člověka pohybují v rozmezí devadesáti pěti až devadesáti devíti procent. Naši pacienti přicházeli do nemocnice, a jejich saturace neboli nasycení kyslíkem byla snížena k osmdesáti procentům, někdy i méně, což je stav přímo ohrožující fungování lidského mozku. Zhroucení organismu pak u některých z nich nastávalo rychle. Při příjmu ještě komunikovali, během dvou tří hodin byli převezeni na oddělení JIP a za několik dnů umírali. U covid nemocných také nezřídka docházelo ke komplikacím v podobě cévních trombóz a embolií, nejčastěji v oblasti plic nebo mozku, což se u bakteriálních zánětů plic vidí jen zřídka.
V lednu jste jako první nemocnice v republice založili Centrum postcovidové péče. Budou mít lidé, kterým covid těžce poškodil plíce, trvalé následky?
Nemyslíme si, že trvalé, ale dlouhodobé ano. Mohu se s vámi podělit o naše více jak roční zkušenosti. Poměrně často se stává, že i lidé s mírnými příznaky covidu-19, kteří byli léčeni ambulantně, se ještě měsíc po prodělání nemoci necítí tak dobře jako před ní. I po třech měsících se mohou trochu zadýchávat při chůzi do schodů a pociťovat únavu, kašel a divný pocit v oblasti hrudníku. Někteří mají různé poruchy nervů – třeba brnění končetin. Další trpí nespavostí, poruchami koncentrace, zhoršenou pamětí nebo bolestmi hlavy, někdy i zvýšeným vypadáváním vlasů.
Po dalším čtvrt roce se jejich obtíže významně zmírní či zcela vymizí. Ambulantně léčený covid pacient většinou netrpí post-covidovými obtížemi déle než šest měsíců. Naopak u těžkých případů, tedy u lidí, kteří museli být hospitalizováni, jsou případné postcovid známky delší. Podle dat z Holandska, kde začali se zkoumáním postcovidového syndromu loni na jaře, se stav plic blíží k normě přibližně po roce od jejich poškození. Při těžších strukturálních a funkčních změnách na plicích očekáváme návrat k normálu za tři až pět let. Zde zase vycházíme ze starších poznatků o epidemii SARS. Předpokládáme, že u nejtěžších případů covid-19 bude délka zotavování obdobná.
Dokáží se plíce zregenerovat samy?
Účinně jim pomáháme plicní rehabilitací, která velice dobře zabírá zejména při pocitech zadýchávání a únavy, což jsou asi nejčastější postcovidové problémy. Zdá se, že infekce způsobená SARS-CoV-2 u některých pacientů mění centrální stereotypy dýchání. Tito pacienti tak, z ne zcela jasných důvodů, dýchají i při lehčí námaze rychle a mělce. Mají proto velké problémy při fyzické zátěži. A právě moderní metody fyzioterapie doplněné o pravidelný aerobní trénink pomohou efektivně změnit špatné vzorce dýchání a vrátit člověka zpátky do stavu před covidem. Samozřejmě v případě těžkých strukturálních následků – jako zvazivovatění případně popraskání některých oblastí plicních sklípků, destrukce stěny průdušek a průdušinek, postižení poplicnice – se plíce budou hojit těžko a dlouho.
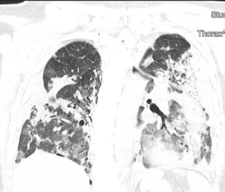
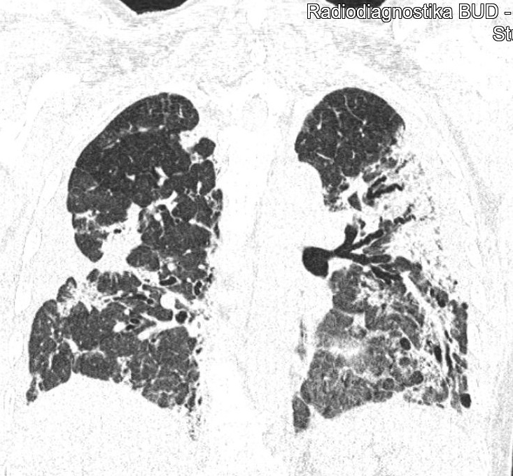
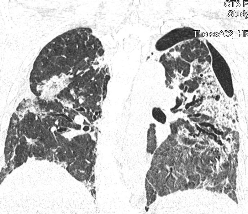
CT snímky vývoje patologických změn na plicích po prodělané nemoci covid-19 u třiapadesátileté doposud zcela zdravé pacientky (fotografie CT nálezu publikovány se svolením Dr. Evy Kočové, Ph.D. – RDG klinika):
Obr. 1: Akutní covid-19 v březnu 2021. Zdravá plicní tkáň je tmavě šedá – prakticky pouze v horních částech obou plic.
Obr. 2: Většina tkáně obou plic je po více jak měsíci od začátku onemocnění stále zánětlivě postižená.
Obr. 3: V červnu 2021 se situace komplikuje oboustranným kolapsem plíce s pneumotoraxem – přítomnost vzduchu z perforované plíce (zcela černé oblasti vpravo a zejména vlevo).
Obr. 4: V říjnu 2021 bylo provedeno poslední CT vyšetření (osm měsíců od vzniku onemocnění), konečně dochází k hojení a mizení patologických změn. Pacientka intenzivně rehabilituje, už nepotřebuje domácí kyslíkovou léčbu.
Ne všechno po covidu je postcovid. Jakými metodami to rozlišujete?
Klasická spirometrie, kdy měříme objem plic v klidu a při usilovném dýchání, nám mnoho neřekne, postcovidoví pacienti mívají její výsledky v normě. Ani na rentgenovém snímku hrudníku nemusí být patrné žádné změny. Téměř u všech pacientů s dechovými obtížemi je ale porušena difuze krevních plynů a dochází k poklesu saturace krve kyslíkem během fyzické aktivity.
Někdy u těchto osob nacházíme vysoké hodnoty tzv. D-dimerů v krvi, které jsou nepřímým laboratorním ukazatelem žilní trombózy potažmo plicní embolie. A právě významnou plicní embolii jsme při následném provedení spirálního CT s kontrastem odhalili u více jak deseti pacientů v rámci těch, kteří se s covidem léčili doma a do Centra postcovidové péče přišli po několika měsících s tím, že se jim „jen“ hůře dýchá. Extrémním příkladem byl přibližně čtyřicetiletý sportovec, který si stěžoval, že má po desetikilometrovém běhu vysoký tep a cítí se jinak než obvykle. Zjistili jsme u něj rozsáhlou plicní embolii.
Jaká opatření jste v nemocnici zavedli při podzimní vlně covidu?
Máme plán, jak mít dostatek lůžek a nemuset omezovat běžnou zdravotní péči pro necovidové pacienty. Ideálním cílem je najet v případě nové vlny na jakýsi hybridní režim, kdy si určíme oddělení či jeho část, jež se bude věnovat pacientům s covid-19, a vše ostatní poběží dál.
Nechceme, aby se opakovala situace z loňského podzimu a letošního jara, kdy jsme měli ve FN Hradec Králové sedmnáct oddělení vyhrazených čistě pro covid-19 a konkrétně my pneumologové jsme nemohli půl roku vyšetřovat ani léčit necovidové plicní nemoci, zejména nádory plic, plicní fibrózy, těžké astma nebo chronickou obstrukční plicní chorobu. A to jsme na tom ještě nebyli tak špatně jako některé malé nemocnice v pohraničí, my jsme měli covidové pacienty aspoň vždy kam uložit, v jednu chvíli jsme jich tu měli dvě stě padesát, ale vždy se nějaké volné lůžko našlo.
Co se podle vás teď bude dít?
Předpokládám, že podzimní „vlnka“ covidu bude menší. Do nemocnice se s covidem dostanou zejména lidé, kteří se nestihli, nemohli nebo nechtěli nechat naočkovat. Také bude přibývat lidí, kteří onemocněli covidem, přestože byli očkovaní, zejména proto, že mají velmi slabou imunitu a efekt vakcinace u nich rychle odezněl. Už teď, v polovině července (kdy byl rozhovor natočen a vyšel v tištěném magazínu Forum 3/2021), jsme u nás v hradecké fakultní nemocnici přijímali několik takových pacientů – většinou po jedné dávce vakcíny, vzácněji po kompletní vakcinaci. Naštěstí máme oproti jaru ohromnou výhodu.
Disponujeme velkým počtem účinných vakcín, které evidentně většinu lidí chrání. Máme k dispozici léky zmírňující průběh onemocnění, jsou přichystaná lůžková oddělení a jejich personál. Víme, jaké zrady mohou při akutní léčbě nastat. A nově máme ještě jednu zbraň – syntetické protilátky proti covid-19. Je prokázáno, že u oslabených lidí tyto „protilátkové koktejly“ zmírňují při včasném podání průběh onemocnění a výrazně redukují riziko, že by virus zapříčinil těžké poškození plic nebo smrt.
Komu přesně jsou syntetické protilátky určeny?
Především lidem s poruchou imunity, kterých jsou v Česku stovky tisíc a reálně u nich hrozí, že onemocní covidem navzdory vakcinaci.
Mohou si o ně zažádat preventivně?
Ne, syntetické protilátky se podávají až v počáteční fázi nemoci. Nejúčinnější jsou ve chvíli, kdy takový člověk zjistí, že mu vyšel pozitivní test na covid-19. Má je k dispozici několik velkých nemocnic v Česku a mohou je distribuovat dál, i praktickým lékařům. Protilátky jsou efektivní hlavně u starších lidí, pacientů léčených pro zhoubná onemocnění, nemocných s primárními poruchami imunity, diabetiků nebo osob léčených imunosupresivní medikací.
| Doc. MUDr. Vladimír Koblížek, Ph.D. |
| Přednosta Plicní kliniky FN Hradec Králové a vědecký sekretář České pneumologické a ftizeologické společnosti Jana Evangelisty Purkyně. Vyučuje na Lékařské fakultě v Hradci Králové UK. Stál, spolu se svými kolegy Michalem Kopeckým, Mikulášem Skálou a mnoha dalšími specialisty, u zrodu prvního mezioborového Centra postcovidové péče v České republice, v němž nyní ambulantně sledují 600 pacientů a zaměřují se zejména na komplikované případy. FN Hradec Králové ve spolupráci s ÚZIS ČR, ČVUT v Praze a LF Hradec Králové UK právě připravuje rozsáhlou analýzu dat od bezmála čtyř a půl tisíce pacientů, kteří byli pro covid-19 hospitalizováni ve FN Hradec Králové a v oblastních nemocnicích Náchod a Rychnov nad Kněžnou. |





